元々、矯正治療をお受けになられており歯並びは綺麗な患者様。ホワイトニング経験も豊富で既に色合いとしては白い部類の歯をされておりました。 2ヶ月後に、結婚式の前撮りをするとの事で、一段と白い歯で望みたいとご相談に見えました。
当院でのオフィスホワイトニング、削って被せるセラミッククラウン、ゼロセラム(削らないベニア)のご説明をし、ゼロセラムを希望されました。
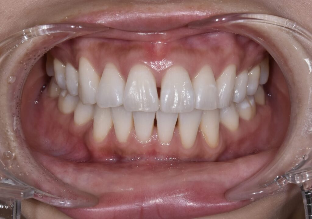
術前
矯正治療の影響で前歯と前歯の間にブラックトライアングル(黒く見える隙間)が見受けられます。

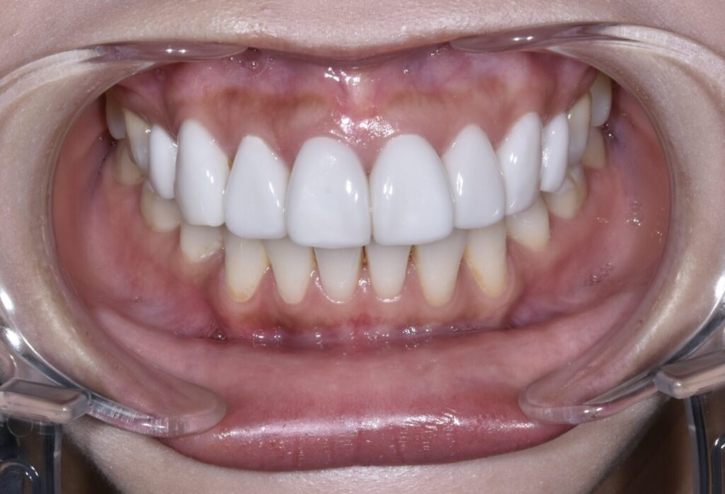
術後
ゼロセラム8本で色味の希望、隙間がないようにさせていただきました。

術前 術後 比較写真

治療詳細
| 治療内容 | ゼロセラム 上8本 |
| 治療期間 | 1ヶ月 |
| 費用 | ゼロセラム 8本 720,000円 |
| リスク・副作用 | ゼロセラムが欠けたり外れる場合があります。また、歯並び,歯の形が変わることにより違和感を生じる事があります。 |
監修者情報

歯科医師
院長 城垣武洋
経歴
- 2011年 朝日大学歯学部卒業
- 愛知学院大学歯学部附属病院にて臨床研修
- 2012年 愛知県内一般歯科勤務
- 2014年 名古屋三越栄店歯科室勤務
- 2017年 湘南美容クリニック歯科心斎橋院勤務
- 2020年 湘南美容クリニック歯科名古屋院院長





