
エアフローって何? エアフローは専用の機械を使って水+空気+微細なパウダーを歯に吹きかけて汚れを落とすクリーニング方法です。 正式には、エアフロー(歯科クリーニング)と呼ばれます。 どんな効果があるの? 主に「歯を白く見せる」効果があります。 ✅着色汚れを落とす コーヒー・紅茶・タバコなどステイン【着色】を除去 ✅ツルツルになる …

毎日歯磨きしているのになぜか歯垢がついてしまう、そんなお悩みをもつ方は多いです。実は歯垢がたまるのにはしっかりとした理由があります。 歯垢とは? 歯垢とは口の中の細菌と食べかすが結びついてできる「最近のかたまり」です。 放置すると虫歯や歯周病の原因になります。 歯垢がたまる原因3選 ①歯磨きの磨き残し 歯垢の最大の原因は、磨き残しです。 特に以下の場所は注意 …

「舌の位置なんてきにしたことない」という方も多いですが、実は舌の位置は歯並びだけでなく、フェイスラインや見た目にも影響します。 今回は舌癖改善トレーニングと美容面のメリットについてご紹介します。 舌癖とは? 舌癖とは舌の使い方や位置の悪い習慣のことです。 例えば ・舌で前歯を押す ・飲み込むときに舌が前に出る こうした癖があると、歯並びや噛み合わせに悪影響を …


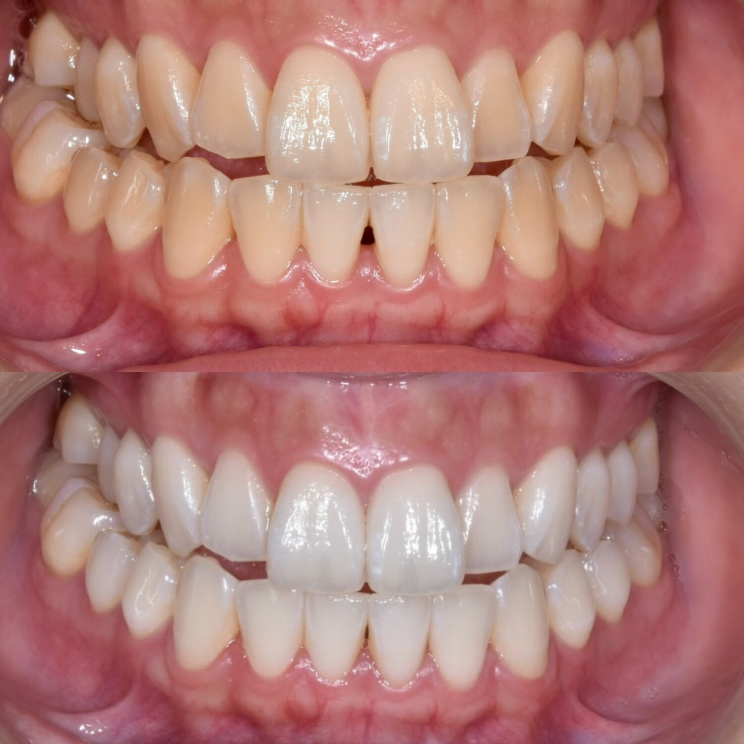
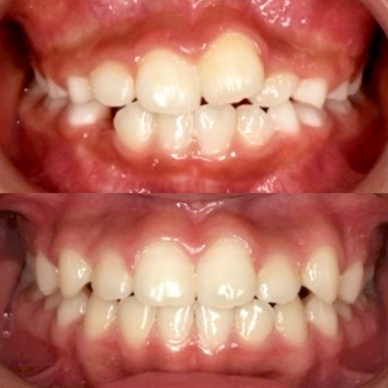
「歯並びをきれいにしたいけれど、どの治療がいいの?」と悩まれる方は多くいらっしゃいます。 歯並びを整える方法には主に ・矯正治療 ・セラミック治療 ・ラミネートべニア などがあります。 それぞれ特徴や適しているケースが異なるため、違いについてご紹介します。 矯正治療 矯正治療は、歯を少しずつ動かして歯並びや噛み合わせと整える治療です。 メリット ・ご自身の歯 …
◎土日 9:30~17:00 お昼休憩なしの診療となります