以前よりホワイトニングに興味があったが、なかなか機会がなかったとのこと。今回定期検診で当院を受診され、ホワイトニング症例を見ていただき、やってみようと思われました。
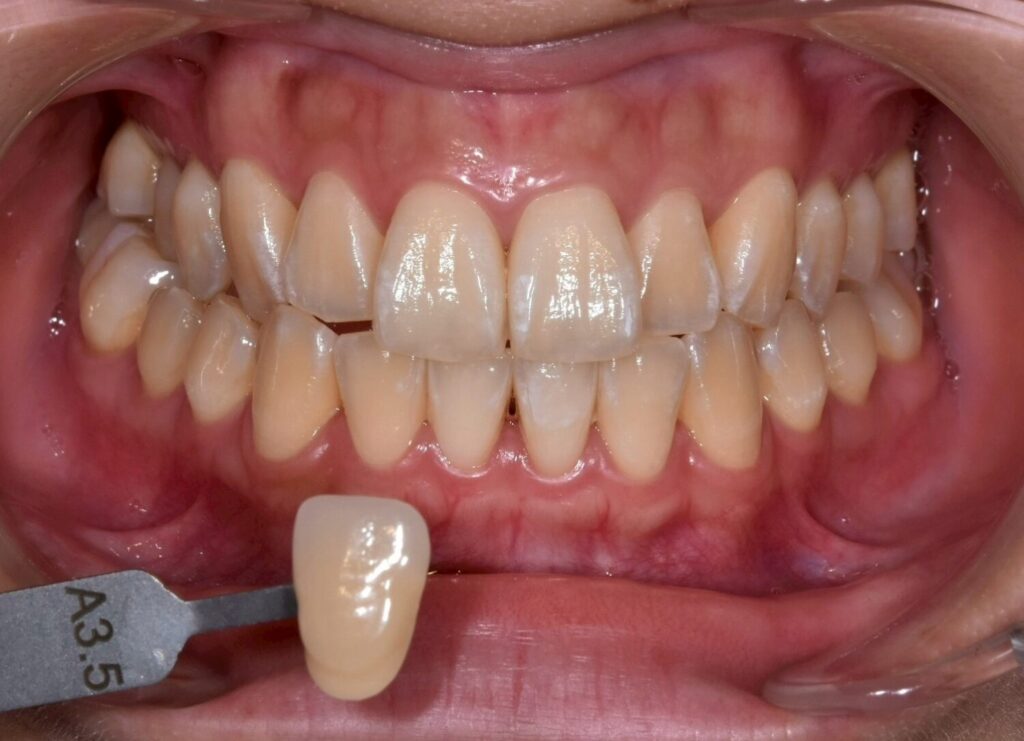
術前
歯のオレンジ色が強く、ホワイトニング効果が期待できる色味でした。色味の見本ではA3.5(成人の平均的な見本はA3)の為、オフィスホワイトニング3回コースと、お家で受けていただくホームホワイトニングの併用を勧めました。


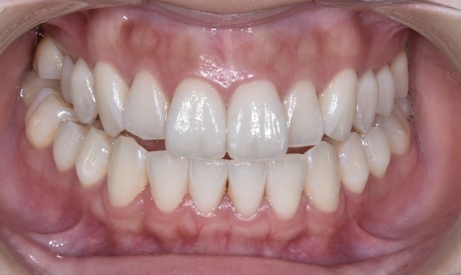
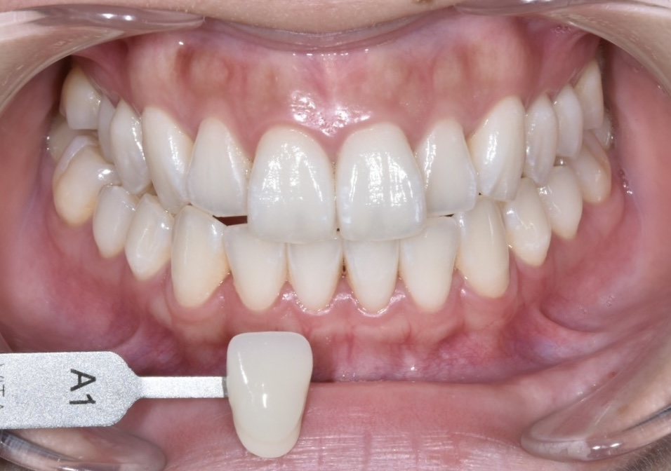
術後
色味は3段階あがり、お口元が明るくなりました。患者様も変化具合に大変満足されております。


症例詳細
| 治療内容 | オフィスホワイトニング3回 ホームホワイトニング |
| 治療期間・回数 | 3回 |
| 治療 費用 | オフィスホワイトニング3回 55,000円 ホームホワイトニング 22,000円 |
| リスク副作用 | 薬剤による痛み、しみる症状が出ることがあります。また、色は後戻りするため、永久に白さを維持できるわけではございません。 |
監修者情報

歯科医師
院長 城垣武洋
経歴
- 2011年 朝日大学歯学部卒業
- 愛知学院大学歯学部附属病院にて臨床研修
- 2012年 愛知県内一般歯科勤務
- 2014年 名古屋三越栄店歯科室勤務
- 2017年 湘南美容クリニック歯科心斎橋院勤務
- 2020年 湘南美容クリニック歯科名古屋院院長





