「歯の黄ばみが気になる」「できるだけ白くしたいけど自然な仕上がりがいい」
そんな方におすすめなのが、デュアルホワイトニングです。
今回は、ホームホワイトニングを2週間 → オフィスホワイトニング
この流れを3回繰り返して行った症例をご紹介します。

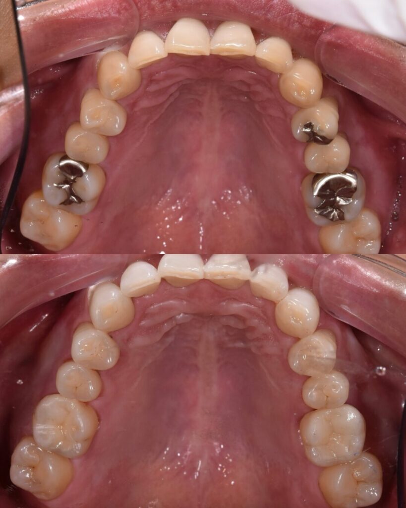
こちらの患者さまは、全体的な歯の黄ばみを気にされて来院されました。
加齢や飲食物による着色があり、歯のトーンがやや暗く見える状態でした。
3回のデュアルホワイトニング終了後、歯全体が明るくなり、透明感のある自然な白さに仕上がりました。
患者さまからも
「口元が明るくなって、自信を持って笑えるようになった」
と嬉しいお言葉をいただきました😊
歯が白くなったことで銀歯も気になってきたとのことでセラミックにやりかえをさせていただきました。

銀歯をセラミックにするお得な情報はこちらから💁♀️
ホワイトニングの種類について
ホームホワイトニングとは
ホームホワイトニングは、ご自宅で行うホワイトニングです。
患者さま専用のマウスピースを使用し、低濃度の薬剤で毎日少しずつ歯を白くしていきます。
ホームホワイトニングのメリット
- 白さが定着しやすい
- 色戻りしにくい
- 自然な仕上がり
ホームホワイトニングのデメリット
- 効果を実感するまでに時間がかかる
- 毎日継続する必要がある
- 使用方法を守らないと効果が出にくい
オフィスホワイトニングとは
オフィスホワイトニングは、歯科医院で行うホワイトニングです。
高濃度の薬剤と専用のライトを使用するため、短期間で効果を実感しやすいのが特徴です。
オフィスホワイトニングのメリット
- 即効性がある
- 短期間で歯を白くできる
- プロの管理下で安心
オフィスホワイトニングのデメリット
- 色戻りしやすい場合がある
- 一時的に知覚過敏が出ることがある
- オフィス単独では白さが定着しにくい
デュアルホワイトニングとは
最初にホームホワイトニングを行うことで歯の内部から白さを引き出し、
その後オフィスホワイトニングでトーンアップさせることで、
それぞれのデメリットを補い合う方法です。
デュアルホワイトニングのメリット
- 即効性と持続性の両立
- 白さが長持ちしやすい
- 色戻りを防ぎやすい
- 自然で健康的な白さ
こんな方におすすめです
- 歯の黄ばみが気になる
- できるだけ白くしたい
- 結婚式やイベントを控えている
- ホワイトニング効果を長持ちさせたい
まとめ|ホワイトニングは組み合わせが大切です
ホワイトニングにはそれぞれメリット・デメリットがあります。
ホームホワイトニングとオフィスホワイトニングを併用することで、より満足度の高い結果が期待できます。
当院では、患者さま一人ひとりに合わせたホワイトニングプランをご提案しています。
歯の白さが気になる方は、ぜひお気軽にご相談ください。
また平日限定のお得なキャンペーンも実施してます。
症例詳細
| 治療内容 | オフィスホワイトニング3回 ホームホワイトニング |
| 治療期間・回数 | 3回 |
| 治療 費用 | オフィスホワイトニング3回 55,000円 ホームホワイトニング 22,000円 |
| リスク副作用 | 薬剤による痛み、しみる症状が出ることがあります。また、色は後戻りするため、永久に白さを維持できるわけではございません。 |
監修者情報

歯科医師
院長 城垣武洋
経歴
- 2011年 朝日大学歯学部卒業
- 愛知学院大学歯学部附属病院にて臨床研修
- 2012年 愛知県内一般歯科勤務
- 2014年 名古屋三越栄店歯科室勤務
- 2017年 湘南美容クリニック歯科心斎橋院勤務
- 2020年 湘南美容クリニック歯科名古屋院院長




