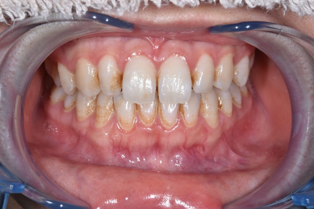
術前
毎月定期的な検診・クリーニングに来てくださっている10代の患者様
保険内のクリーニングでは落としきれない着色汚れをリフレッシュケアで改善されました。
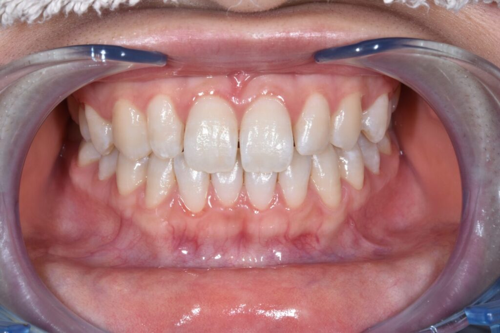
術前

術後

リフレッシュケア+オプション(二次研磨:リナメルトリートメント)
¥9900+¥1100(オプション)
毎月定期的な検診・クリーニングに来てくださっている10代の患者様
保険内のクリーニングでは落としきれない着色汚れをリフレッシュケアで改善されました。
術前

術後

リフレッシュケア+オプション(二次研磨:リナメルトリートメント)
¥9900+¥1100(オプション)
◎土日 9:30~17:00 お昼休憩なしの診療となります