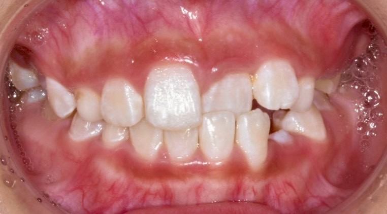
術前
前歯が反対咬みになっており、噛み合わせ的にも審美的にも大変気にされておりました。1期矯正(子供の矯正)を始めるのは遅くても小学校3年生の夏休みです。彼女の場合、来院された時点で小学校4年生でした。
治療をスタートするか精密検査をし、まだ今始めれば改善が見込める診断となり矯正治療を開始しました。


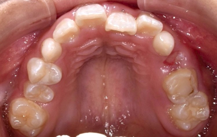
矯正中の装置
歯の裏側にリンガルアーチと呼ばれる装置を装着し、前歯を押していきます。
その後拡大装置も使い、顎の幅を広げました。

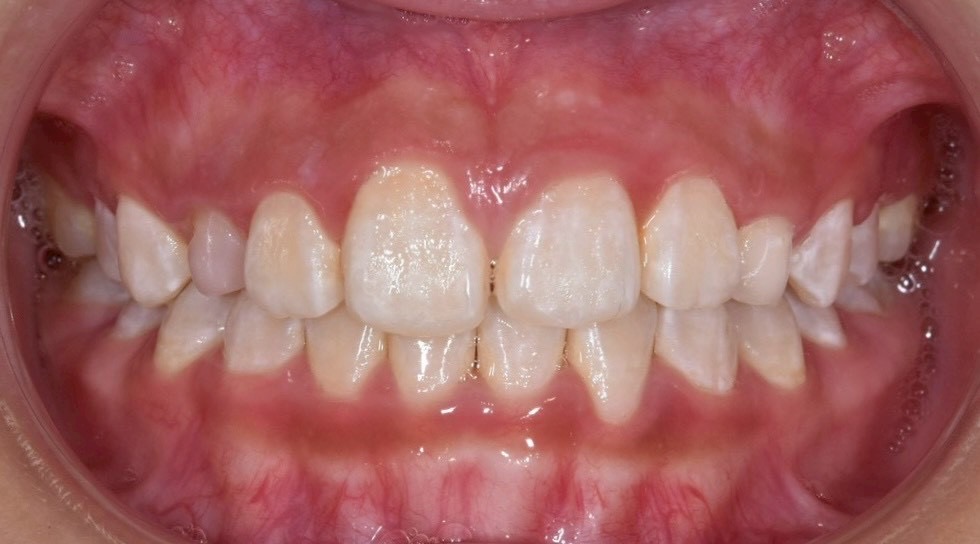
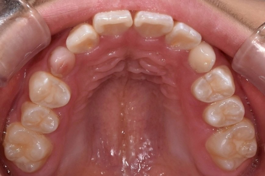
矯正終了後


術前術後比較写真


治療詳細
| 治療内容 | 小児1期矯正治療 |
| 治療期間 | 9ヶ月 |
| 費用 | 診断費用 55,000円 小児矯正 380,000円 調整費用 3,300円 (概ね月に1回) |
| リスク・副作用 | 装置装着後の違和感、痛みが生じる場合があります。また、装置が矯正中に外れる可能性があります。 |
監修者情報

歯科医師
院長 城垣武洋
経歴
- 2011年 朝日大学歯学部卒業
- 愛知学院大学歯学部附属病院にて臨床研修
- 2012年 愛知県内一般歯科勤務
- 2014年 名古屋三越栄店歯科室勤務
- 2017年 湘南美容クリニック歯科心斎橋院勤務
- 2020年 湘南美容クリニック歯科名古屋院院長




