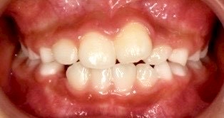
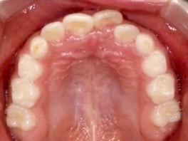
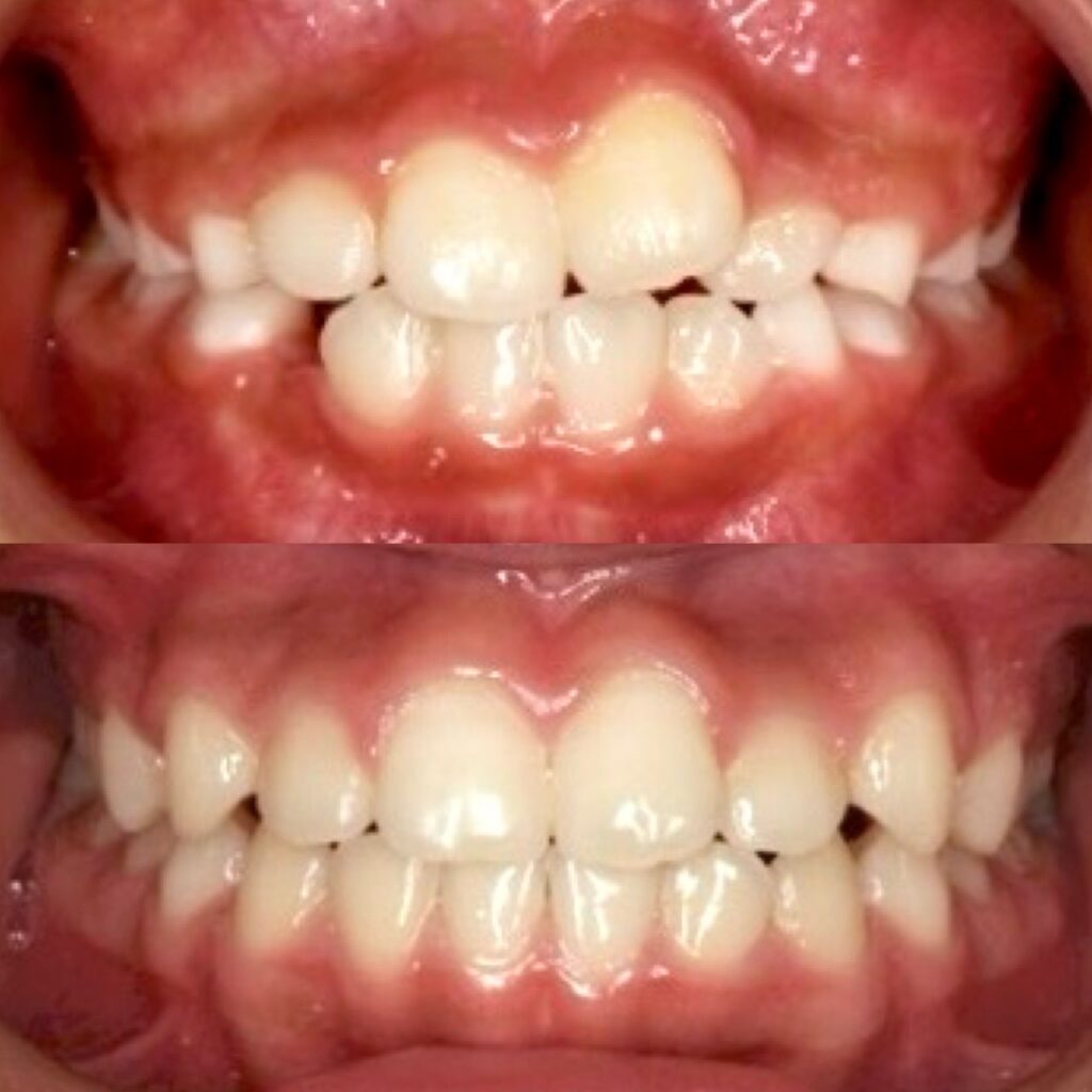
前歯のガタつきをお父さんお母さんが気にされ来院されました。
小学3年生及び、まだ乳歯(子供の歯)がたくさん残っております。成長についても発育段階の為、小児矯正治療の適応となり、精密検査を実施、治療を開始しました。
治療前


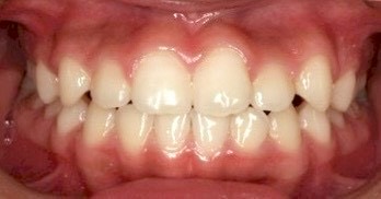
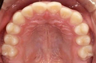
治療後


比較写真

小児矯正治療は、生え変わりの進行具合、年齢により治療可否が分かれます。早めにご相談にお越し下さい。
具体的には小学校4年生までがタイムリミットと考えていただければと思います。
治療詳細
| 治療内容 | 小児矯正 |
| 治療期間 | 12ヶ月 |
| 費用 | 小児1期矯正治療 38,5000円 精密診断費用 55,000円 調整料金3,300円(月1回) |
| リスク・副作用 | 矯正装置装着中の発音のしずらさ、一時的な歯の動揺、歯肉の炎症が起こる場合がございます。 |
監修者情報

歯科医師
院長 城垣武洋
経歴
- 2011年 朝日大学歯学部卒業
- 愛知学院大学歯学部附属病院にて臨床研修
- 2012年 愛知県内一般歯科、小児矯正歯科勤務
- 2014年 名古屋三越栄店歯科室勤務
- 2017年 湘南美容クリニック歯科心斎橋院勤務
- 2020年 湘南美容クリニック歯科名古屋院院長





