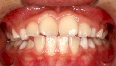
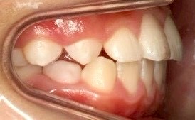
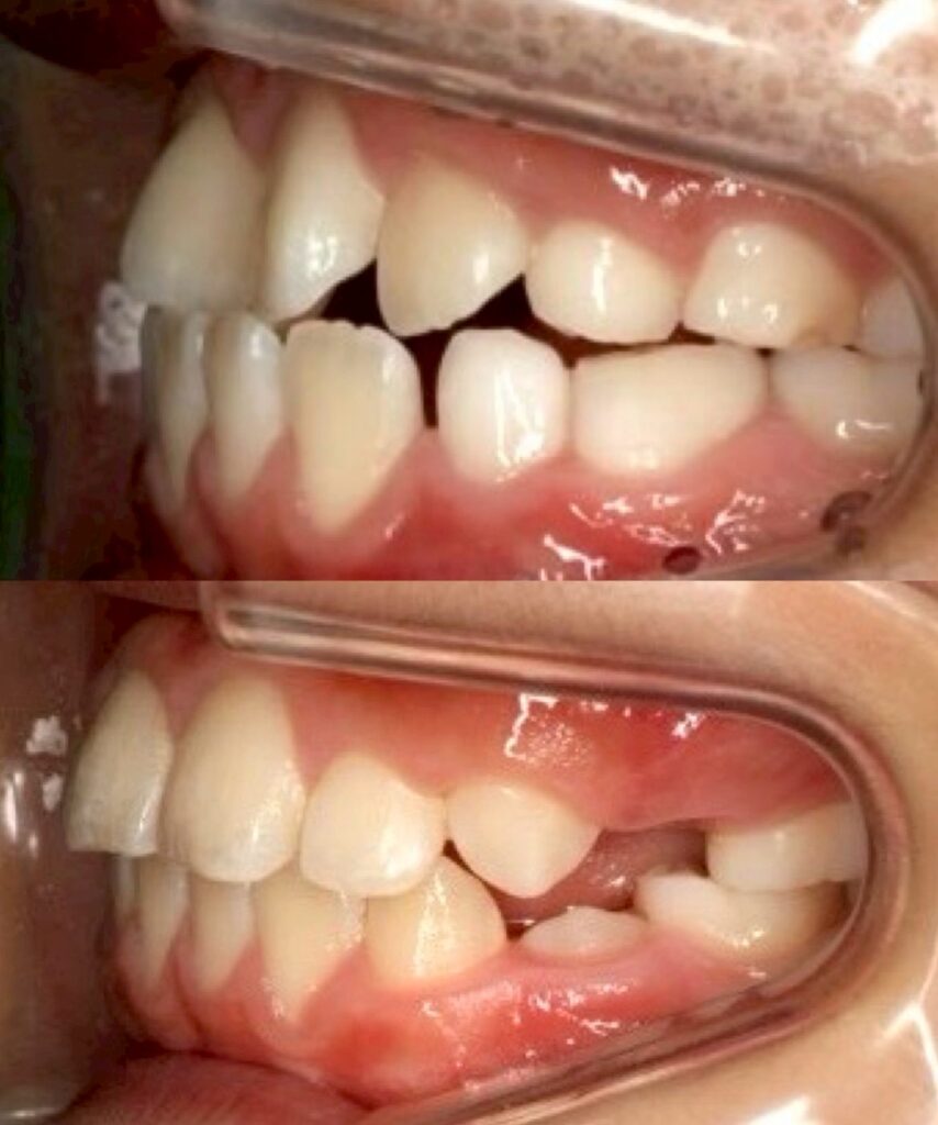
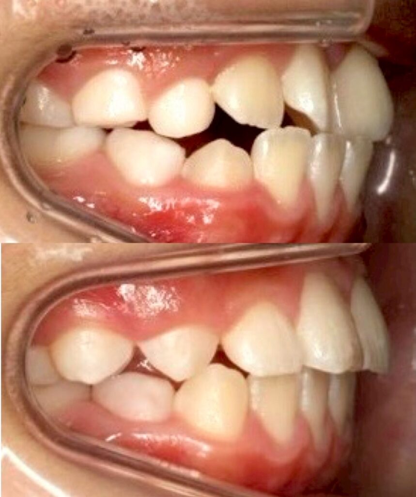
前歯がハの字に傾いていることをご両親が気にされ来院されました。
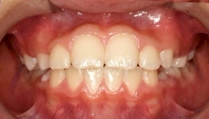
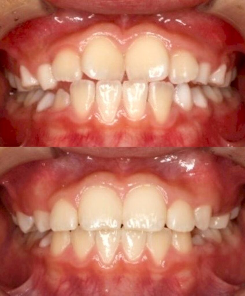
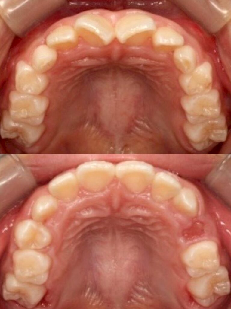
約1年の治療で前歯の傾き噛み合わせが改善しました。
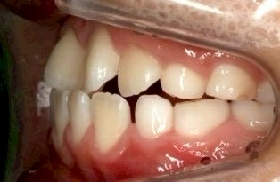
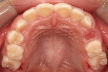
術前 前歯が傾いている、歯の先端で噛み合っており理想的な噛み合わせではない




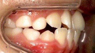
術後




術前 術後 比較写真




治療詳細
| 治療内容 | 小児矯正 |
| 治療期間 | 12ヶ月 |
| 費用 | 小児1期矯正治療 38,5000円 精密診断費用 55,000円 調整料金3,300円(月1回) |
| リスク・副作用 | 矯正装置装着中の発音のしずらさ、一時的な歯の動揺、歯肉の炎症が起こる場合がございます。 |
監修者情報

歯科医師
院長 城垣武洋
経歴
- 2011年 朝日大学歯学部卒業
- 愛知学院大学歯学部附属病院にて臨床研修
- 2012年 愛知県内一般歯科、小児矯正歯科勤務
- 2014年 名古屋三越栄店歯科室勤務
- 2017年 湘南美容クリニック歯科心斎橋院勤務
- 2020年 湘南美容クリニック歯科名古屋院院長





