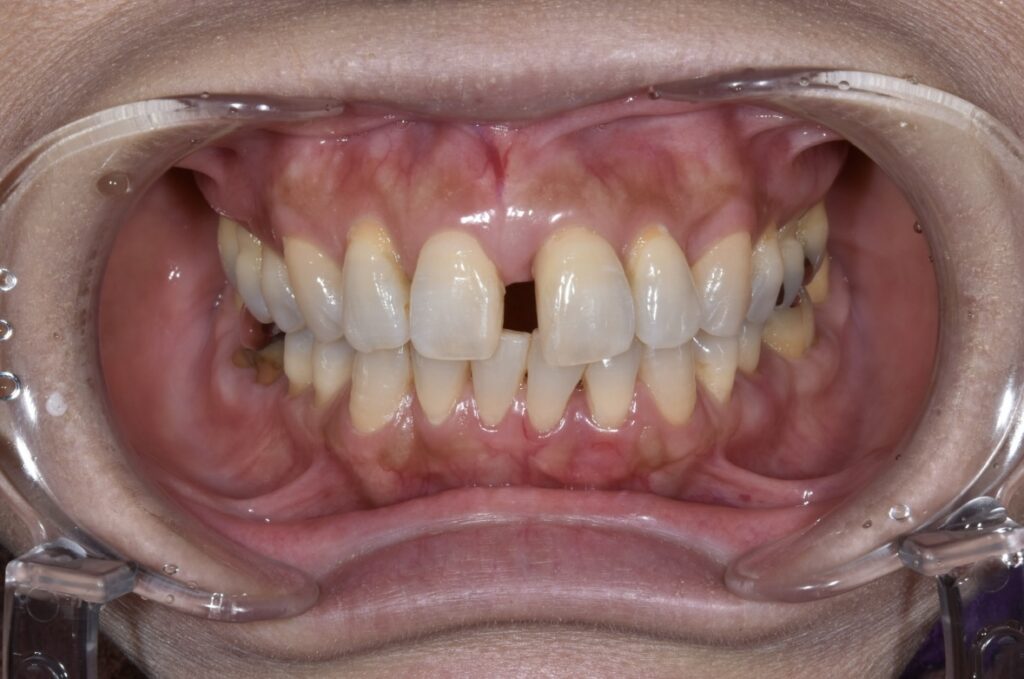
前歯の歯の隙間が気になるとご相談で来院された患者様
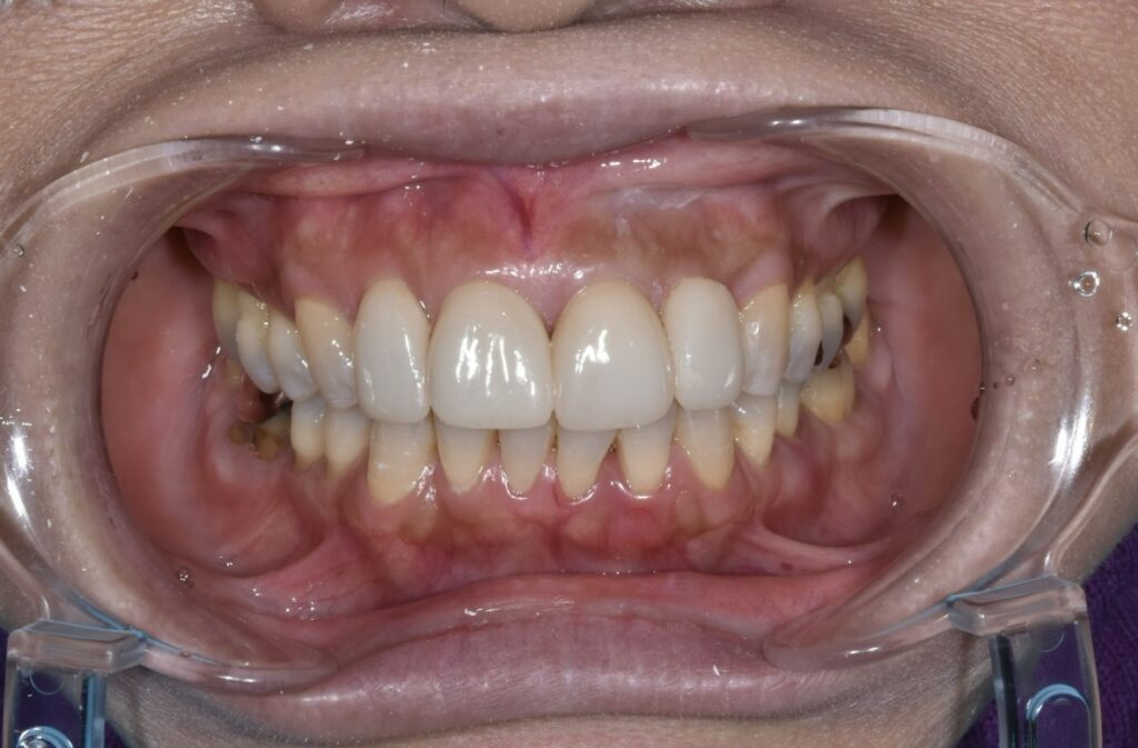
削らないラミネートベニア【ゼロセラム】で綺麗に改善されました。
術前

術後

| 治療内容 | ゼロセラム 上4本 |
| 治療期間 | 1ヶ月 |
| 費用 | ゼロセラム4本セット 400,000円 |
| リスク・副作用 | ゼロセラムが欠けたり外れる場合があります。また、歯並び,歯の形が変わることにより違和感を生じる事があります。噛み合わせや歯並びにより適応出来ない場合がございます。 |
監修者情報

歯科医師
院長 城垣武洋
経歴
- 2011年 朝日大学歯学部卒業
- 愛知学院大学歯学部附属病院にて臨床研修
- 2012年 愛知県内一般歯科勤務
- 2014年 名古屋三越栄店歯科室勤務
- 2017年 湘南美容クリニック歯科心斎橋院勤務
- 2020年 湘南美容クリニック歯科名古屋院院長





