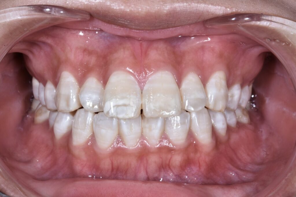
術前
ホワイトスポット(白い斑点)が目立ちます。また、アイコン治療(ホワイトスポットを薬剤により目立たなくさせる方法)も検討されましたが、当院のゼロセラムを希望され来院されました。

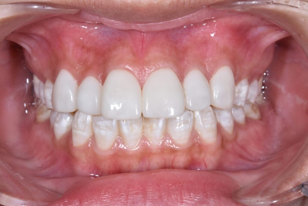
術後
前歯6本にゼロセラムを装着し、患者様のお悩みを改善させていただきました。

術前術後
治療詳細
| 治療内容 | ゼロセラム 上6本 |
| 治療期間 | 1ヶ月 |
| 費用 | ゼロセラム 6本 570,000円 |
| リスク・副作用 | ゼロセラムが欠けたり外れる場合があります。また、歯並び,歯の形が変わることにより違和感を生じる事があります。 |
監修者情報

歯科医師
院長 城垣武洋
経歴
- 2011年 朝日大学歯学部卒業
- 愛知学院大学歯学部附属病院にて臨床研修
- 2012年 愛知県内一般歯科勤務
- 2014年 名古屋三越栄店歯科室勤務
- 2017年 湘南美容クリニック歯科心斎橋院勤務
- 2020年 湘南美容クリニック歯科名古屋院院長





