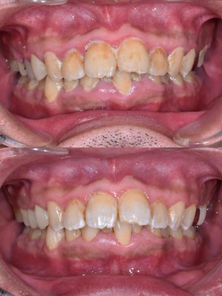
歯のクリーニングって何するの❔
歯科で行うクリーニングでは
・歯石の除去
・歯の表面の着色汚れ(お茶・コーヒー)
・バイオフィルム(除去)
などを専用の器具でしっかり取り除きます。
その結果、
お口の中がツルツル&さっぱり✨
終わった直後に「気持ちいい!」と感じる方がとても多いです。
クリーニングのうれしい効果
歯のクリーニングには、スッキリ感だけでなくこんなメリットも👇
- 口臭予防
- むし歯・歯周病の予防
- 歯ぐきの健康維持
- 自分では気づかないトラブルの早期発見
定期的に受けることで、お口の健康を長く保つことができます。
どのくらいの頻度がいいの?
お口の状態にもよりますが、
3ヶ月に1回のクリーニングがおすすめです。
「痛そう」「しみそう」と不安な方も、
状態に合わせて優しく行いますのでご安心ください😊
🦷保険内のクリーニング
→治療・予防がメイン
🦷保険外(自由診療)のクリーニング
→よりワンランク上のケアをご希望の方
→大切なイベントの前に
歯のクリーニングは、
健康のためだけでなく、気分までスッキリできるケアです。
あなたに合ったクリーニングで、
気持ちのいいお口環境を保ちましょう!

リフレッシュケア
60分施術
¥9900円
平日限定今だけ30%OFF→¥6930





