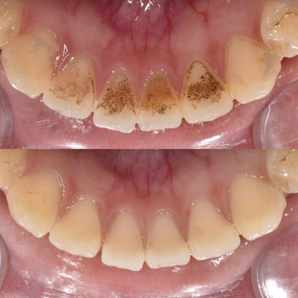
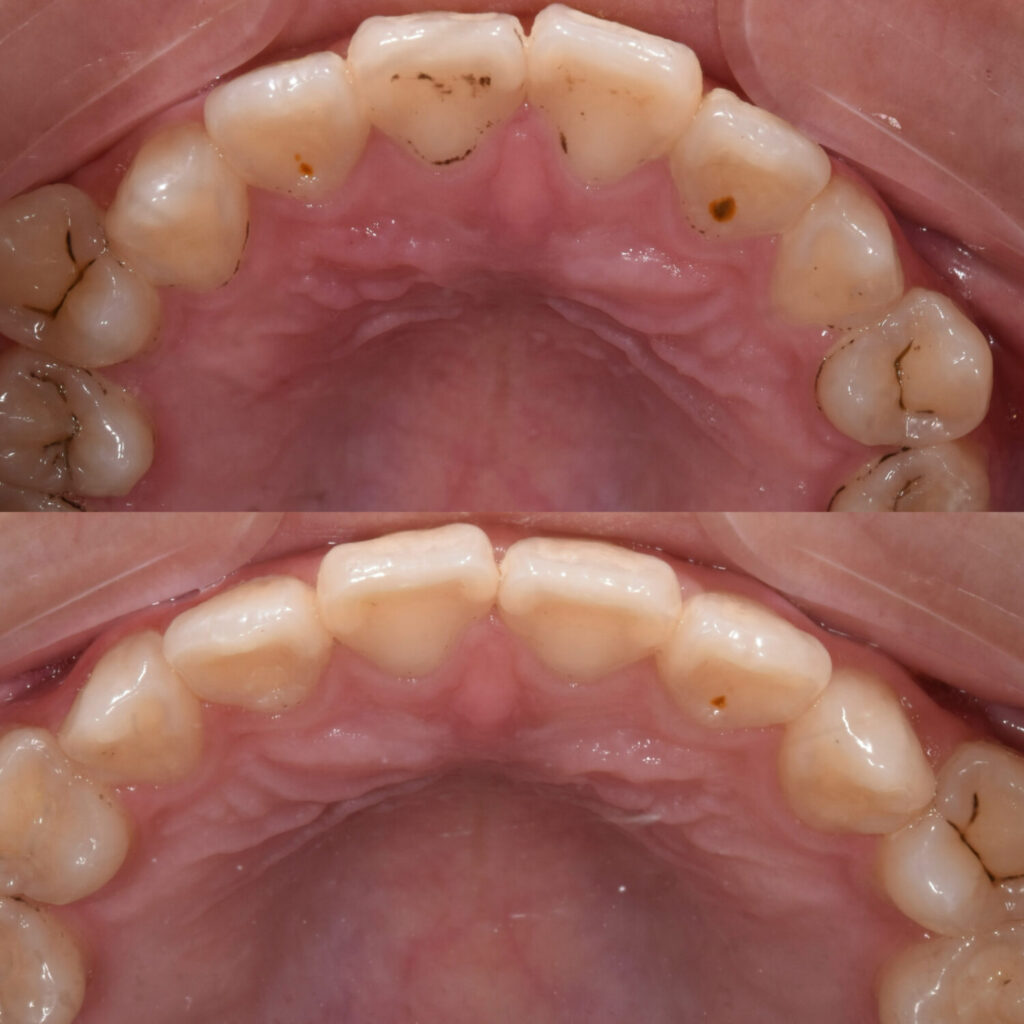
タバコの着色が気になって3年ぶりに歯医者に来院された患者さま。
歯の裏側に着色汚れ、歯石がついている状態です。忙しいため1回で汚れを取りたいとのご要望だったため、自費クリーニングを提案させていただきました。
施術前後 下の前歯裏側

施術前後 上の前歯裏側

特に汚れが多くついていた前歯を重点的にクリーニングした事によって本来の歯の色に戻り、印象が変わりました。
また、当院の自費クリーニングでは舌クリーニングも行うため口臭も気にならなくなり、すっきりしたと嬉しいお声もいただけました😊
治療詳細
| 治療内容 | リフレッシュケア |
| 治療回数 | 1回 60分 |
| 費用 | ¥9,900 |
| リスク・副作用 | 定期的にクリーニングを行う事で効果を保てます |
監修者情報

歯科医師
院長 城垣武洋
経歴
- 2011年 朝日大学歯学部卒業
- 愛知学院大学歯学部附属病院にて臨床研修
- 2012年 愛知県内一般歯科勤務
- 2014年 名古屋三越栄店歯科室勤務
- 2017年 湘南美容クリニック歯科心斎橋院勤務
- 2020年 湘南美容クリニック歯科名古屋院院長




