
「前歯の色や形が気になる」「すき間をきれいに整えたい」「でも、健康な歯を削るのはできるだけ避けたい」 このようなお悩みをお持ちの方に、近年注目されている治療がゼロセラムです。ゼロセラムは、歯へのダメージを最小限に抑えながら、自然で美しい口元を目指す審美歯科治療です。 ■ ゼロセラムとは? ゼロセラムとは、非常に薄く透明感のあるセラミック素材を歯の表面に接着し …

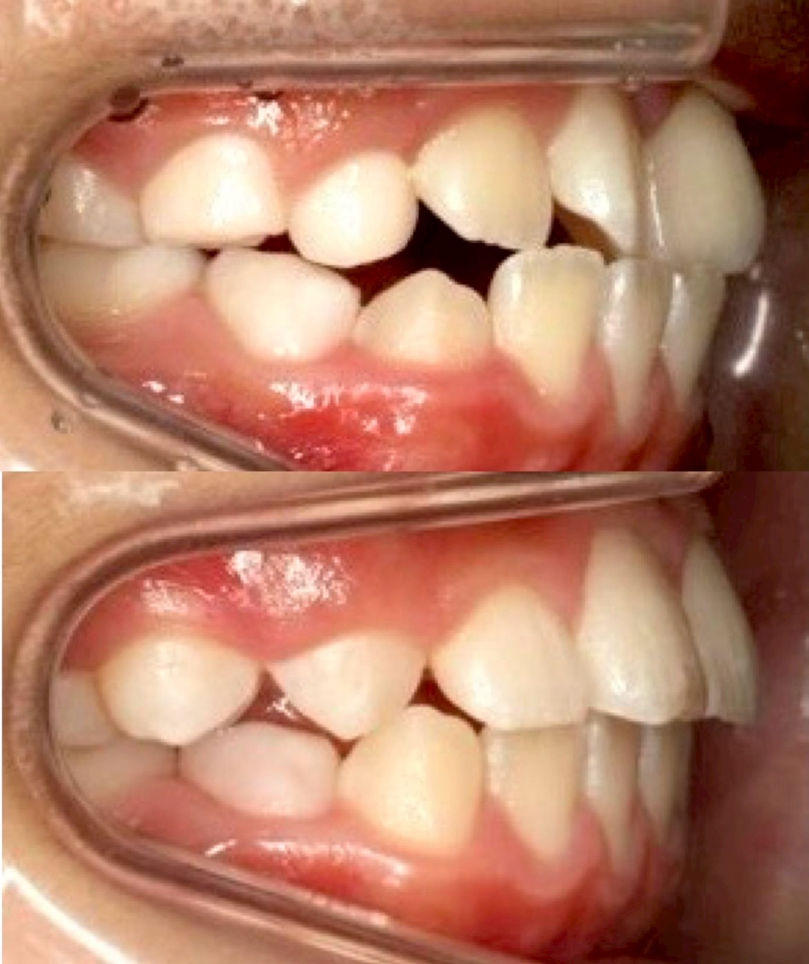
術前 前歯の傾き 上下の前歯に隙間があり噛みきれない状態です 術後 前歯の傾き、噛み合わせ共に正常な位置に修正しております 治療詳細 治療内容 小児矯正 治療期間 12ヶ月 費用 小児1期矯正治療 38,5000円 精密診断費用 55,000円 調整料金3,300円(月1回) リスク・副作用 矯正装置装着中の発音のしずらさ、一時的な歯の動揺、歯肉の炎症が起 …

寝ている間や日中の無意識のうちに、歯を強く噛みしめたり「ギリギリ」とこすり合わせたりする歯ぎしり(歯軋り)。自覚がない方も多く、家族に指摘されて初めて気づくケースも少なくありません。 歯ぎしりの主な原因 歯ぎしりの原因として最も多いのが、ストレスや緊張です。仕事や学校、日常生活での精神的負担が、就寝中の歯ぎしりとして現れることがあります。また、噛み合わせのズ …

口を開けたときや食事中に「カクッ」「コキッ」と顎がなることはありませんか? 痛みがないと放置してしまいがちですが、顎から音がする状態は注意が必要な場合もあります。 顎がなる主な原因 顎がカクカク鳴る原因で最も多いのは顎関節症です。 顎の関節には「関節円板(えんばん)」というクッションの役割をする組織があります。 これがずれた状態で口を開け閉めすると、音がなり …

前歯がハの字に傾いていることをご両親が気にされ来院されました。 約1年の治療で前歯の傾き噛み合わせが改善しました。 術前 前歯が傾いている、歯の先端で噛み合っており理想的な噛み合わせではない 術後 術前 術後 比較写真 治療詳細 治療内容 小児矯正 治療期間 12ヶ月 費用 小児1期矯正治療 38,5000円 精密診断費用 55,000円 調整料金3,30 …
◎土日 9:30~17:00 お昼休憩なしの診療となります